Carcinoma Ductal In Situ (CDIS): El Cáncer Mamario Antes de Invadir
- citorushtc

- 21 jul
- 2 Min. de lectura
El carcinoma ductal in situ (CDIS) representa la forma más temprana del cáncer de mama. Se trata de una proliferación neoplásica de células epiteliales dentro de los conductos mamarios, que aún no han atravesado la membrana basal. Es decir, no hay invasión al tejido circundante.

🔎 ¿Por qué es importante el CDIS?
Porque es maligno, pero localizado. Su detección y tratamiento oportuno pueden prevenir el desarrollo de un carcinoma invasivo. En muchos países, el CDIS ha aumentado en incidencia gracias al uso masivo de mamografía, que detecta microcalcificaciones asociadas a esta lesión.


🧪 ¿Cómo se clasifica el CDIS?
La clasificación del CDIS se basa en el grado nuclear y el patrón arquitectónico, siendo los más frecuentes:
Patrón cribiforme
Sólido
Papilar
Micropapilar
Comedoniano (asociado a necrosis central)
👉 Los grados nucleares se dividen en bajo, intermedio y alto grado, dependiendo del pleomorfismo nuclear y la presencia de mitosis o necrosis.
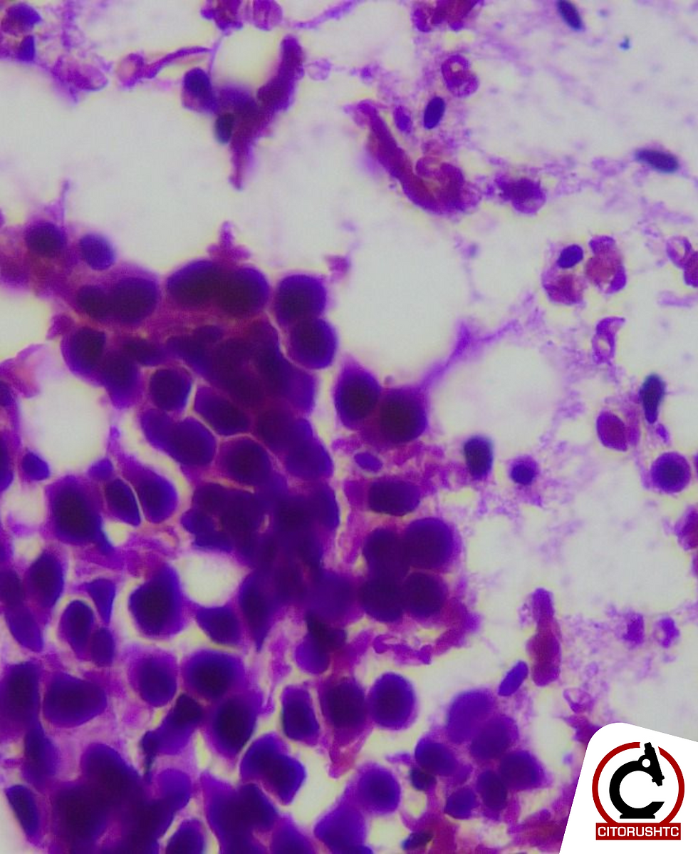
🔬 ¿Y en citología, cómo lo detectamos?
La citología mamaria por punción (FNA) puede sugerir un CDIS, aunque no siempre permite diferenciarlo del carcinoma invasivo. Algunos hallazgos clave:
📌 Características citológicas del CDIS:
Células ductales en grupos cohesivos o sueltos
Disposición monótona o levemente pleomórfica
Cromatina finamente granular o vesiculosa
Posible presencia de necrosis central tipo comedo
Microcalcificaciones en el fondo (en algunos casos)
⚠️ Importante: El diagnóstico definitivo y la graduación del CDIS requieren histología, ya que la invasión no puede descartarse solo por citología.
🧠 ¿Y qué significa esto para el citotecnólogo?
El CDIS es una zona gris citológica. Puede confundirse con lesiones benignas atípicas o con carcinoma invasivo bien diferenciado. Por eso, el profesional debe:
Reconocer los patrones celulares sugestivos
Reportar con términos prudentes como "sugestivo de lesión epitelial proliferativa atípica" o "sugestivo de neoplasia ductal in situ", según el contexto
Recomendar estudio histológico complementario si hay sospecha
🩺 En resumen:
El carcinoma ductal in situ es una etapa clave en la evolución del cáncer de mama. Su detección cambia el pronóstico y permite un tratamiento precoz. La citología puede ser una herramienta valiosa, pero nunca aislada. Se necesita siempre correlación con la imagen y, en muchos casos, confirmación histológica.
🎓 En CITORUSHTC te enseñamos a ver más allá del microscopio: a interpretar, correlacionar y tomar decisiones diagnósticas con criterio profesional.¿Quieres dominar la citología mamaria desde lo básico hasta lo avanzado?🔗 Únete a nuestros entrenamientos exclusivos y transforma tu visión diagnóstica.



Comentarios