Histoplasmosis en Citología: Observación y Toma de Muestra
- citorushtc

- 11 mar 2025
- 2 Min. de lectura
¿Cómo se observa la histoplasmosis en citología?
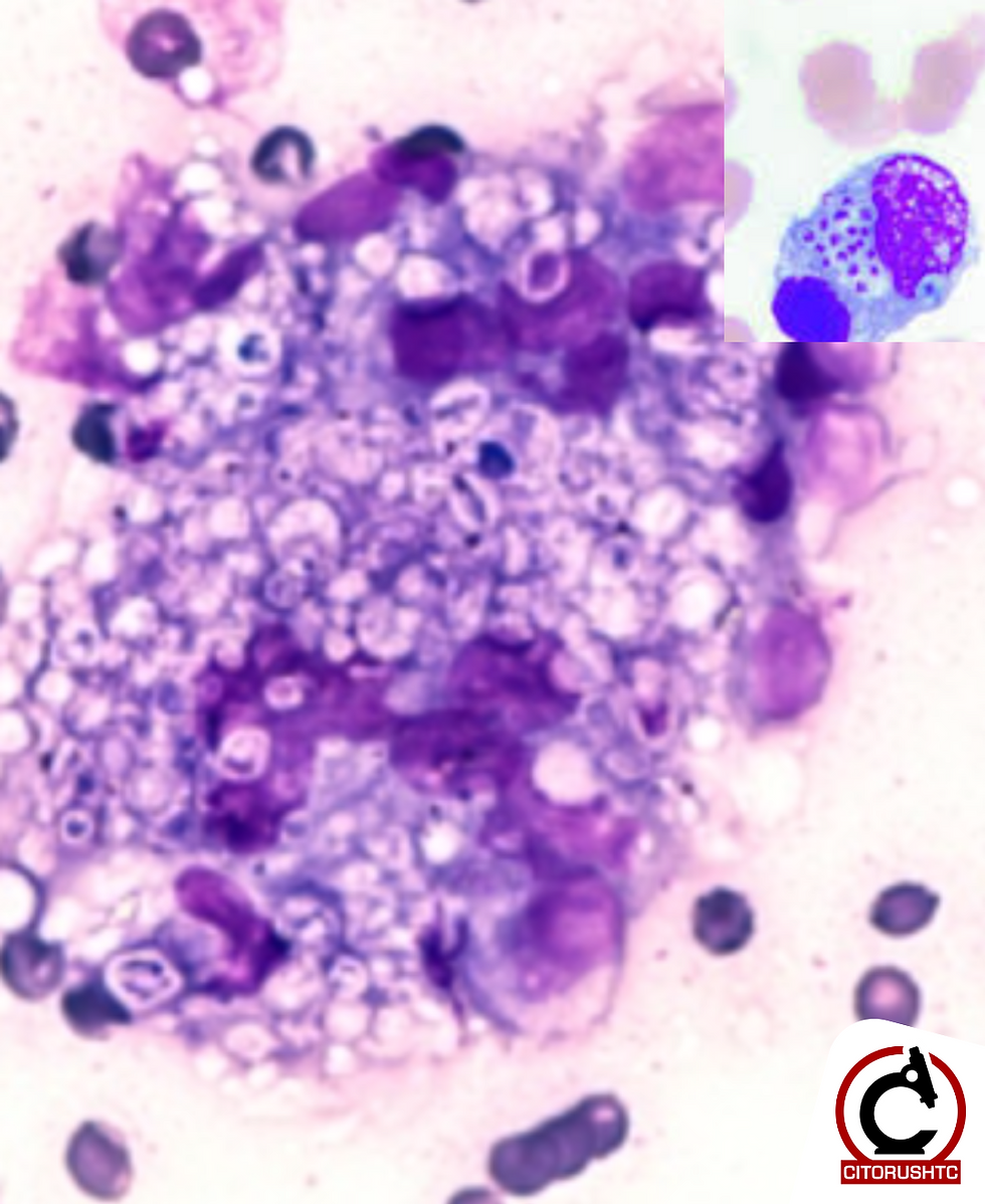
En el estudio citológico, la Histoplasma capsulatum puede ser identificado en muestras de diferentes fluidos y tejidos. Su observación requiere técnicas de tinción especializadas, ya que este hongo es pequeño (2-4 µm) y puede confundirse con otros microorganismos.

Características citológicas del Histoplasma capsulatum:
Forma ovalada o redonda.
Rodeado por un halo claro que puede simular una cápsula (artefacto de retracción).
Presente en macrófagos y otras células fagocíticas.
Se puede encontrar de manera dispersa en el fondo de la muestra en casos de infección severa.
Tinciones utilizadas:
Giemsa: Permite visualizar los hongos dentro de los macrófagos.
PAS (Periodic Acid-Schiff): Resalta la pared celular del hongo.
Methenamina de plata (GMS-Grocott): Excelente para la identificación de hongos en muestras tisulares.
Tinción de Gram: Puede ayudar en la diferenciación de otros microorganismos.
¿Cómo se realiza la toma de muestra?
La recolección de muestras para la detección citológica del Histoplasma capsulatum depende del sitio de infección:
Lavado broncoalveolar (BAL):
Se obtiene mediante broncoscopía en pacientes con sintomatología respiratoria.
Es útil para la observación directa del hongo en el aparato respiratorio.
Aspirado de medula ósea:
Indicado en infecciones diseminadas.
Muestra alta sensibilidad para la detección de H. capsulatum en macrófagos.
Biopsias de tejidos:
Ganglios linfáticos, piel, hígado o bazo pueden ser sitios afectados en infecciones diseminadas.
Se utilizan tinciones histoquímicas para la confirmación del patógeno.
Exudados o muestras de líquidos corporales (LCR, sangre, esputo):
En casos de compromiso neurológico, se analiza el líquido cefalorraquídeo.
La detección en sangre puede hacerse con técnicas moleculares o cultivos.
Importancia del diagnóstico citológico
La identificación temprana del Histoplasma capsulatum mediante citología es fundamental para iniciar un tratamiento oportuno, especialmente en pacientes inmunocomprometidos. La combinación de técnicas citológicas con pruebas complementarias como cultivo y PCR mejora la sensibilidad diagnóstica y permite un enfoque más preciso en el tratamiento de la histoplasmosis.
Si te interesa esta area, te invito al
TRAINING INTERNACIONAL EN CITOMORFOLOGÍA ONCOLÓGICA DE LÍQUIDOS Y DERRAMES https://www.citorushtc.com/training-citorushtc/citomorfologia-oncologica-liquidos-secreciones-corporales
.
Domina las técnicas más avanzadas para identificar procesos malignos en líquidos corporales y conviértete en un experto en citopatología.
.
💡 ¿Qué aprenderás?
✅ Análisis detallado de líquidos pleurales, peritoneales, pericárdicos y más.
✅ Identificación de células tumorales y características oncológicas.
✅ Métodos y herramientas esenciales para un diagnóstico eficaz.
.
Aprovecha el mejor precio antes de su lanzamiento oficial. 🔥
.
🌐 Modalidad 100% online, flexible y sin horarios.
🎯 Cupos limitados.
📲 Reserva tu lugar ahora y asegura tu futuro como especialista en citopatología.
.
.
👉
¡Escríbenos para más información!
WhatsApp: wa.me/15557002072



Comentarios