La Viruela del Mono y su Diagnóstico Citológico
- citorushtc

- 19 ago 2024
- 3 Min. de lectura
Actualizado: 21 ago 2024
La viruela del mono, una enfermedad viral que ha ganado atención mundial en los últimos años, es una zoonosis que afecta a los seres humanos y es causada por el virus de la viruela del mono. Este virus pertenece a la familia Poxviridae, la misma que incluye el virus de la viruela humana, y se caracteriza por producir una erupción cutánea generalizada que puede asemejarse a otras infecciones virales o dermatológicas.
Historia y Contexto
La viruela del mono fue identificada por primera vez en 1958 en colonias de monos utilizadas para investigación, de ahí su nombre. El primer caso en humanos fue documentado en 1970 en la República Democrática del Congo. Desde entonces, ha habido brotes ocasionales en África, con algunos casos exportados a otros continentes debido a viajes internacionales.
Sintomatología y Diagnóstico Clínico
Los síntomas de la viruela del mono incluyen fiebre, dolor de cabeza, dolores musculares, fatiga, y la característica más distintiva: una erupción que comienza en la cara y se extiende a otras partes del cuerpo. La erupción evoluciona a través de varias etapas, desde máculas hasta pústulas, antes de formar costras.
El diagnóstico clínico inicial se basa en la presentación de estos síntomas, pero debido a la similitud con otras enfermedades como la varicela, el diagnóstico diferencial es crucial. Aquí es donde entra la citología como una herramienta invaluable.
Citología en la Viruela del Mono
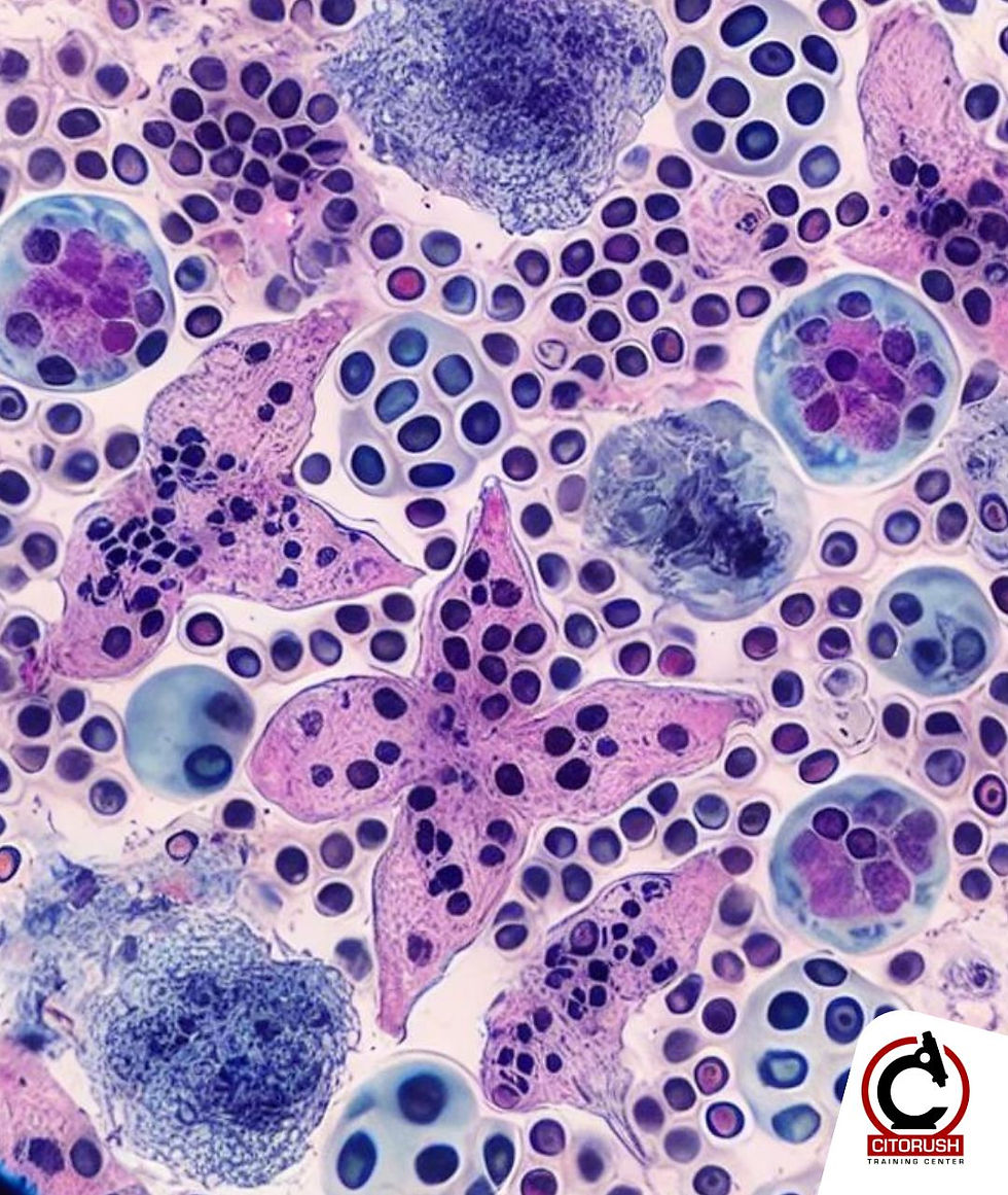
La citología, el estudio de las células individuales y sus características, puede desempeñar un papel importante en la identificación de la viruela del mono. A través de técnicas citológicas, como la toma de muestras de lesiones cutáneas, se pueden observar cambios celulares característicos que pueden sugerir la presencia del virus.
Muestras: Las muestras citológicas suelen tomarse de las lesiones cutáneas activas, como vesículas o pústulas. Estas se pueden extender en un portaobjetos y teñir con métodos como el de Giemsa o Papanicolaou.
Hallazgos Citológicos: Bajo el microscopio, las células infectadas pueden mostrar inclusiones citoplasmáticas eosinofílicas, conocidas como cuerpos de Guarnieri, que son patognomónicas de las infecciones por poxvirus. Además, se pueden observar efectos citopáticos, como células multinucleadas y balonización celular.
Ventajas y Desafíos del Diagnóstico Citológico
La citología ofrece varias ventajas en el diagnóstico de la viruela del mono:
Rapidez: Proporciona resultados relativamente rápidos en comparación con otros métodos, lo que es crucial durante un brote.
Accesibilidad: Es un método ampliamente disponible y no requiere equipamiento altamente especializado.
Sin embargo, existen desafíos. La interpretación de los resultados citológicos requiere experiencia, y el diagnóstico definitivo a menudo debe complementarse con técnicas moleculares, como la PCR, que confirman la presencia del ADN viral.
Importancia del Diagnóstico Temprano
Un diagnóstico temprano y preciso es fundamental para controlar la propagación de la viruela del mono y para el manejo adecuado de los pacientes. La citología, junto con otras herramientas diagnósticas, juega un papel crucial en la identificación rápida de la enfermedad, especialmente en regiones donde el acceso a métodos moleculares es limitado.
Conclusión
La viruela del mono es una enfermedad emergente que subraya la importancia de la vigilancia continua y el diagnóstico preciso. La citología, con su capacidad para identificar características celulares específicas, sigue siendo una herramienta valiosa en la detección de esta infección. La integración de la citología con otras técnicas diagnósticas puede mejorar significativamente la precisión y la rapidez del diagnóstico, lo que es esencial para el control efectivo de los brotes





Estoy muy emocionada de informarles a todos que recientemente me curé por completo del HSV1 y 2. He usado aceite de orégano, aceite de coco, aciclovir, valaciclovir, famciclovir y algunos otros productos y realmente me ayudaron durante mis brotes, pero me curé por completo del HSV1 y 2 con una medicina herbal fuerte y activa que le pedí a un poderoso herbolario llamado Dr. Riaria y luchó por completo contra el virus y eliminó mi sistema nervioso. Después de 14 días de usar la medicina herbal, obtuve un resultado negativo. Estoy aquí para que todos sepan que el virus del herpes tiene una cura completa, me deshice de él con la ayuda del Dr. Riaria y su medicina herbal. Comuníquese…